Katarakt (Grauer Star)
Beim Grauen Star, auch Katarakt genannt, trübt sich die Augenlinse, so dass Lichtstrahlen sie nicht mehr ungehindert passieren können. Als Folge ist die Sehschärfe des „verschleierten“ Auges herabgesetzt. Ohne Behandlung schreitet diese Erkrankung so weit fort, dass bei völliger Eintrübung der Linse nur noch Schemen erkennbar sind. Bevor sich die Sehschärfe verschlechtert, klagen Patienten mit beginnendem Grauen Star häufig darüber, dass sie bei ungünstigen Licht-verhältnissen geblendet werden und zum Beispiel das Lesen mehr anstrengt als früher. Oft können die Betroffenen ihre eigene Sehschärfe und die Tauglichkeit im Straßenverkehr nicht mehr richtig einschätzen. Der Graue Star kann sich zuerst auf einem Auge oder auf beiden Augen gleichzeitig entwickeln. Im späten Stadium sieht der Patient wie durch eine Milchglasscheibe.
Heute kann man mit einer in der Regel komplikationslosen, ambulanten Operation in örtlicher Betäubung eine erhebliche Verbesserung des Sehvermögens erreichen. Bei den allermeisten Star-Operationen wird nach Entfernen der eigenen getrübten Linse eine künstliche Linse (Intraokularlinse) eingesetzt. In Einzelfällen kann auch eine Sonderlinse zum Ausgleich höherer Hornhautverkrümmungen sinnvoll sein, auch die Alterssichtigkeit kann teilweise reduziert und damit eine gewisse Brillen-unabhängigkeit erreicht werden. Über Kosten, und wann dies Sinn macht, sollte individuell beraten werden.
Auch nach einer Katarakt Operation kann es noch einmal zu einer Verschleierung und Eintrübung kommen: durch den sog. Nachstar. Hierbei wachsen eigene Linsenzellen unregelmäßig über die noch erhaltene hintere Linsenkapsel, ein dünnes Häutchen. Diese Trübung kann ebenfalls die Sehschärfe deutlich reduzieren, lässt sich jedoch in der Regel mit einem kurzen schmerzlosen Lasereingriff beseitigen.


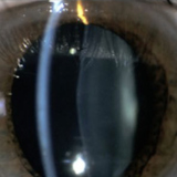
verschiedene Stadien einer Katarakt

m.f.G. Prof. Lagrèze, Freiburg